Search - News & Events
231 - 240 of 730 results
-
RVC academic's paper amongst the top 10% most downloadable Microbial Biotechnology papers
A paper written by Dr Ben Swift, published in Microbial Biotechnology, has been recognised as being among the top 10% of their most downloaded papers for the period January 2018 and December 2019. This is a great achievement, showing how this …A paper written by Dr Ben Swift, published in Microbial Biotechnology, has been recognised as being …
-
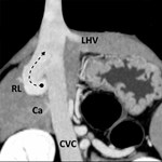
RVC study into congenital intrahepatic shunt classifications to help improve care for dogs
A new descriptive study has determined important variations in the classification of congenital birth defects that occur in various dog breeds - an important step in diagnosis, surgical method and recommended treatmentsA new descriptive study has determined important variations in the classification of congenital …
-
Pioneering RVC research identifies a key reason for equine pregnancy loss
Research from the Royal Veterinary College (RVC) has demonstrated that a chromosomal defect is the reason why a significant proportion of horse pregnancies fail within the first two months of development. This will pave the way for new diagnostic … -
RVC researchers lead vital study on global food systems
Important study highlighting the need for a holistic approach to understanding food systems if significant progress is to be made in producing healthy and nutritious food in an environmentally sustainable way to all people at all times.Researchers from the Royal Veterinary College (RVC) have led an important study as part of the …
-
RVC academic receives grant for vital research exploring the risk of fracture among Thoroughbreds
Grant awarde by the Alborada Trust to Dr Debbie Guest, for research which has the potential to make a significant improvement to Thoroughbred health and welfareA Senior Research Fellow at the Royal Veterinary College (RVC) has been awarded a grant, worth …
-
Recognising early signs of heatstroke in dogs can save lives
More than half of dogs that are taken to veterinary clinics with severe heatstroke go on to die from the condition, according to a new study. Image credit: Nottingham Trent University The risks to dogs are much lower, however, if these cases … -
Researchers develop combined cellular and molecular treatment to help improve recovery after spinal cord injury
New type of combined cell treatment with the aim of improving recovery after spinal cord injury in companion animals and, ultimately, humans.A team of researchers, led by Dr Nicolas Granger at the Royal Veterinary College (RVC) and Dr Liang- …
-
Pioneering RVC research study reveals impacts of horse shoe and ground surfaces on horses and riders
RVC equine research reveals associations between hoof-ground interactions and upper body movements of horses and their ridersPioneering RVC study reveals associations between hoof-ground interactions and upper body movements …
-
Research identifies first case of Fragile Foal Syndrome in Thoroughbred horses
Collaborative research study has found the first case of Fragile Foal Syndrome in a Thoroughbred horse -
The RVC’s Professor Roger Smith elected Junior VP of BEVA
The Royal Veterinary College’s (RVC) Professor Roger Smith, Professor of Equine Orthopaedics, has been elected Junior Vice President of the British Equine Veterinary Association (BEVA), after being elected to the Council three times - in 1997, 2000 …
