Search - Veterinary Services
91 - 100 of 130 results
-
Pioneering Hypophysectomy Treatment Reaches 100-Case Milestone
A cat called Rusty has become the 100th patient to be treated by hypophysectomy at The Royal Veterinary CollegeThe UK’s first successful feline hypophysectomy surgery was performed at the RVC in 2012, to treat …
-
Research reveals Vitamin D as potential determinant of cancer immunity and immunotherapy success
Specialist pathologist researchers from the Royal Veterinary College (RVC) – working alongside The Francis Crick Institute (FCI) and other partners – have discovered that a diet high in vitamin D encourages the growth of a type of gut bacteria in … -
New research from the RVC discovers the dog breeds at most risk of insulinoma
New research from the Royal Veterinary College (RVC), in collaboration with Utrecht University, is the first of its kind to report on the epidemiology of canine insulinoma. Findings reveal that Boxers, German Pointers, Flat Coated Retrievers and …New research from the Royal Veterinary College (RVC), in collaboration with Utrecht University, is …
-
New RVC study reveals breed predispositions and risk factors for rare adrenal tumour in dogs
Novel research from the Royal Veterinary College (RVC), in collaboration with the Faculty of Veterinary Medicine at Utrecht University, has revealed the epidemiology of phaeochromocytoma, a rare adrenal tumour, in dogs. The new study uncovers …Novel research from the Royal Veterinary College (RVC), in collaboration with the Faculty of …
-
Article
Belgian Great Dane Travels to the RVC for Exceptional Care
The most important reason for Gustav to travel from Belgium to the Royal Veterinary College was our team of neurology and rehabilitation nurses. -
Article
30 Years of Progress at the QMHA
The Queen Mother Hospital for Animals (QMHA) has come a long way since being established 30 years ago. -
Article
Bringing Brachycephalic Research Together to Help Pets and Vets
The RVC has established an interdisciplinary team to co-ordinate research expertise on brachycephalic companion animals and enhance dissemination of key findings to share insights with the veterinary community and wider world. -
Article
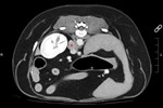
Congenital Intrahepatic Shunt Classifications Study to Improve Canine Care
A new descriptive study has determined important variations in the classification of congenital intrahepatic portosystemic shunts (IHPSS) in dogs. These findings are an important step in not only the diagnosis but surgical method and recommended … -
Article
“One Pathology” For Clinicians and Researchers: All Species Are Equally Important
Lecturer in Comparative Pathology Dr Alejandro Suarez Bonnet, an RCVS and American Specialist in Veterinary Pathology, talks about his expertise in histopathological diagnosis of domestic, wildlife and laboratory animals, which supports the service … -
New study shows majority of injuries in thoroughbred flat racing are minor
RVC study show that 70 percent of injuries recorded among thoroughbred flat racing horses on race-day were minor and not career-ending.
